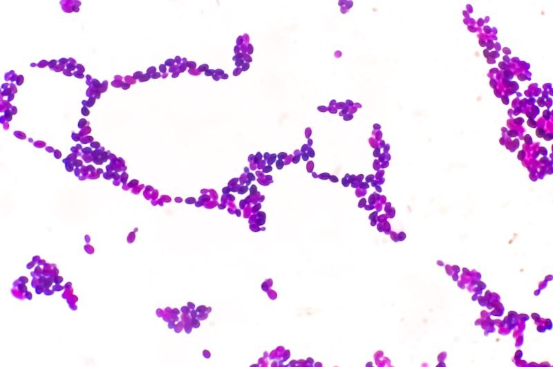
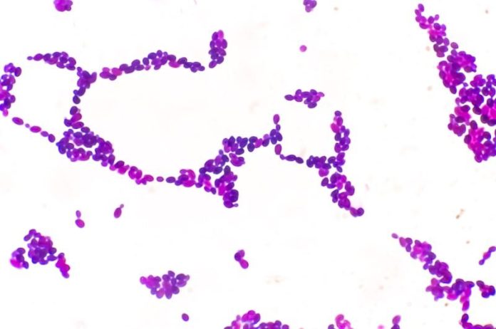
HomeMarkets Markets Drug-resistant fungus Candida auris reported in these 17 states By news May 11, 2025 0 236 FacebookTwitterPinterestWhatsApp (NEXSTAR) – The deadly and drug-resistant fungus Candida auris is under close surveillance as health experts work to calm its spread. Candida auris, …This post was originally published on this site Share FacebookTwitterPinterestWhatsApp Subscribe Login Notify of new follow-up comments new replies to my comments Please login to comment 0 Comments Inline Feedbacks View all comments Stay Connected149,188FansLike396,312FollowersFollow2,680SubscribersSubscribe Latest Articles Markets Why the world’s banks are so worried about Anthropic’s latest AI model Markets I Flagged Every Trade Markets Thursday Thoughts – The Circle Jerk Economy is Back in Full Swing Market News On the Brink of Global Recession Energy Iran Again Tightens Its Grip on Shipping in the Strait of Hormuz Biotech HHS rejects publication of study showing Covid-19 vaccines prevent hospitalizations, ER visits Markets (Plunder) America First: The Grand Strategy of Donald Trump Markets Is Trump heading to a Pyrrhic victory in Iran? Markets Which Way Wednesday – The Physics of Oil Won’t Negotiate Market News Why the US military is stuck using $1 million missiles against Iran’s $20,000 drones AI Unauthorized group has gained access to Anthropic’s exclusive cyber tool Mythos, report claims AI Apple’s John Ternus will run one of the world’s most powerful companies; the job is a minefield Energy Trump announces extension of Iran ceasefire until ‘discussion concluded’ Top Trades PhilStockWorld Top Trade Alert – April 21st, 2026 – Synchrony Financial (SYF) Load more